San Diego - Er bod llawer o'r ymdrech tuag at wella ansawdd mewn endosgopi dros y degawd diwethaf wedi canolbwyntio ar colonosgopi, efallai ei bod hi'n bryd troi sylw at endosgopi uwch - yn benodol, gan leihau cyfradd neoplasia Barrett ar ôl endosgopi.
"Yn union fel y gellir methu briwiau'r colon ar ôl colonosgopi, gellir methu neoplasia Barrett ar ôl endosgopi uchaf. Gwyddom fod y canserau a'r neoplasias hyn yn cael eu methu yn yr endosgopi mynegai," meddai Prateek Sharma, MD.Newyddion Gastroenteroleg ac Endosgopi.
Yn ystod cwrs ôl-raddedig Cymdeithas America ar gyfer Endosgopi Gastroberfeddol (ASGE) yn ystod Wythnos Clefyd Treulio 2022, disgrifiodd Dr. Sharma, athro meddygaeth yn Ysgol Feddygaeth Prifysgol Kansas, Kansas City, neoplasia Barrett (PEBN) ôl-endosgopi. pam ei fod yn bwysig, a mesurau y gall endosgopyddion eu cymryd i gynyddu eu gallu i ganfod y briwiau hyn sy'n aml yn gynnil.
“Pan fydd cleifion yn cael eu cyfeirio at ganolfan drydyddol ar ôl i fiopsi ar hap ddangos naill ai neoplasia gradd uchel neu ganser, 75 y cant neu fwy o’r amser y mae endosgopydd y ganolfan drydyddol yn gweld bri na chafodd yr endosgopydd cyntaf ei ganfod,” meddai Nicholas J. Shaheen, MD, pennaeth yr Adran Gastroenteroleg a Hepatoleg ym Mhrifysgol Gogledd Carolina yn Ysgol Feddygaeth Chapel Hill. "Mae hyn yn rhannol oherwydd bod gan endosgopydd y ganolfan drydyddol fantais - roedd gwybod bod rhywbeth wedi'i ganfod ar fiopsi sy'n ymddangos ar hap. Ond rhan ohono, yn ddiamau, yw bod y briw yno bob amser a dim ond heb ei gydnabod," meddai Dr ShaheenNewyddion Gastroenteroleg ac Endosgopi. “Felly, rydyn ni'n gwybod bod hon yn broblem mewn gwirionedd.”
Diffinio PEBN, Sefydlu Mesurau Ansawdd
Mae'r diffiniad o PEBN yn gyson â'r diffiniad o ganser y colon a'r rhefr ar ôl colonosgopi a sefydlwyd gan Sefydliad Endosgopi'r Byd: nam neoplastig a ganfuwyd chwe mis ar ôl yr endosgopi mynegai.
"Gall hyn fod oherwydd amrywiaeth o resymau, gan gynnwys cael ei golli," meddai Dr Sharma.
Mewn meta-ddadansoddiad a archwiliodd gyfradd PEBN ar ôl endosgopi negyddol cychwynnol (gan ddiffinio briw a ganfuwyd yn yr arholiad cyntaf neu o fewn chwe mis fel neoplasia Barrett cyffredin, canfuwyd briw rhwng saith mis a thair blynedd ar ôl yr endosgopi mynegai fel PEBN, ac unrhyw neoplasia a ddarganfuwyd 36 mis neu fwy ar ôl arholiad cyntaf negyddol fel digwyddiad neu newydd), canfu ymchwilwyr mai'r categori mwyaf yw neoplasia cyffredin (Endosgopi2022 Ionawr 3. doi: 10.1055/a-1729-8066).
"Mae hyn yn dweud wrthym ei bod yn debyg mai'r endosgopi cyntaf a wnewch mewn cleifion â BE yw eich endosgopi mwyaf hanfodol - dyna lle rydych chi'n mynd i ganfod y mwyaf o'r briwiau neoplastig hyn," meddai Dr Sharma, gan nodi bod canran y cleifion sydd wedi mae neoplasia ar eu mynegai endosgopi wedi bod yn cynyddu dros y 30 mlynedd diwethaf.
Cynigiodd ddau fesur ansawdd ar gyfer endosgopi mewn cleifion â BE. Y cyntaf yw treulio digon o amser yn chwilio am friwiau. "Gwnewch yn siŵr nad ydych chi'n teimlo'n falch o'ch 60-ail endosgopi uchaf, oherwydd mae'r endosgopi uchaf yr un mor bwysig â cholonosgopi." Yr ail fesur ansawdd yw asesu eich cyfradd ganfod ar gyfer dysplasia gradd uchel a chanser yn yr endosgopi mynegai i sicrhau eich bod yn cyrraedd lefelau sy'n adlewyrchu archwiliad o ansawdd uchel. Yn ôl meta-ddadansoddiad o fynychder cyfun dysplasia gradd uchel (HGD) ac adenocarcinoma esophageal (EAC) mewn endosgopi mynegai, mae'r gyfradd ganfod honno tua 7 y cant, yn amrywio o 4 y cant i 10 y cant (perfedd 2019;68[12]:2122-2128).
"Felly, ar lefel sefydliad o leiaf, gallwch chi ddefnyddio hyn i weld a ydych chi'n gwneud diagnosis o ddigon o ddysplasia gradd uchel a chanser ar eich endosgopi mynegai," meddai Dr Sharma.
Gwella Cydnabod Neoplasia Barrett
Mae endosgopi o ansawdd uchel yn cynnwys archwilio gofalus, samplu digonol a chydnabyddiaeth briodol, meddai Dr Sharma.
Faint o amser ddylech chi ei dreulio ar yr arholiad endosgopig? Tua munud y centimedr o oesoffagws Barrett (BE), yn ôl astudiaeth ddiweddar (gastrointest Endosc2012;76[3]:P531-P538). "Dangosodd yr astudiaeth gain hon po fwyaf o amser y byddwch chi'n ei dreulio yn archwilio segment Barrett, y mwyaf tebygol ydych chi o ddod o hyd i HGD ac EAC," meddai Dr Sharma.
"Mae'n bwysig hyfforddi'ch hun a'ch llygaid," ychwanegodd. "Mae adnabod briwiau yn allweddol i wella eich cyfradd canfod neoplasia."
Ar ôl arolygiad, dilynwch brotocol Seattle ar gyfer samplu digonol. "Yr hyn rydyn ni bob amser yn ei golli ym mhrotocol Seattle yw ei fod yn cynnwys biopsïau targed cyntaf, yna'r biopsïau ar hap. Mae'r biopsïau targed yn hollbwysig. Cofiwch y dictum, 'edrychwch yn fwy, biopsi yn llai' - oherwydd os edrychwch yn fwy, fe welwch y briw targed," meddai Dr Sharma.
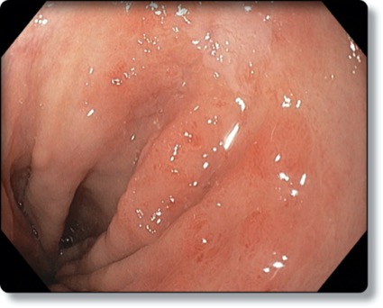
Mae adnabyddiaeth briodol o neoplasia hefyd yn hollbwysig, ond gall hyn fod yn anodd (Ffigur). Gall delweddu band cul cromoendosgopi rhithwir, delweddu golau glas ac i-SCAN (Pentax Medical) wedi'i wella gan ddelweddau fod yn offer defnyddiol, ond mae angen i endosgopydd wybod beth mae'n chwilio amdano, ac efallai y bydd angen hyfforddiant ychwanegol ar hyn.
Ennill Sgiliau, Cysegru Arbenigwyr
"Rwy'n meddwl, yn gyffredinol, mae caffael sgiliau endosgopig ar gyfer yr ymarferydd prysur braidd yn anodd. Yn ffodus, mae sefydliadau wedi rhoi cynnig ar nifer o bethau i helpu endosgopyddion i ennill sgiliau wrth i'r maes ddatblygu," meddai Dr Shaheen.
Er enghraifft, mae gan yr ASGE ei raglenni Sgiliau, Hyfforddiant ac Ailasesu, cyrsiau byw gyda hyfforddiant ymarferol yn eu cyfleuster yn Downers Grove, Ill. "Mae prawf ar ddiwedd pob cwrs. Os byddwch yn ei basio, byddwch yn cael gradd tystysgrif sy'n dangos eich bod wedi cael hyfforddiant uwch yn y maes hwnnw," meddai Dr Shaheen.
Yn benodol i BE, mae rhaglen y Gweithgor Rhyngwladol ar gyfer Dosbarthu Oesoffagitis BORN (neoplasia sy'n gysylltiedig â BE), sef offeryn addysgu ar y we ar gyfer adnabod briwiau yn endosgopig. Yn 2019, cyhoeddodd Bergman et al ymchwil yn dangos bod yr hyfforddiant wedi gwella’n sylweddol “ganfod a diffinio briwiau neoplastig” endosgopyddion cyffredinol (Gastroenteroleg2019;156[5]:1299-1308).
Mewn hap-dreial rheoledig, dangosodd Dr. Sharma a'i gyd-ymchwilwyr hefyd well cydymffurfiaeth â phrotocol biopsi Seattle a "gwybodaeth o ganfod ac asesu BE" ymhlith endosgopyddion a gafodd ymyriad addysgol o gymharu â'r rhai na dderbyniodd yr hyfforddiant hwn (Endosc Gastrointe2022;95[2]:239-245).
Cydnabu Dr Shaheen, er bod miloedd o gastroenterolegwyr yn mynychu digwyddiadau addysg feddygol barhaus bob blwyddyn i wella eu sgiliau mewn cyrsiau ymarferol, nid yw hyfforddiant arbenigol yn orfodol, ac nid yw'r adnoddau hyn yn hygyrch i bawb. “Dim ond hyn a hyn o oriau sydd mewn diwrnod a chymaint o bethau y gallwch chi ddod yn arbenigwyr arnyn nhw,” meddai Dr Shaheen. “Ond rwy’n meddwl bod gennym ni gyfle, wrth i grwpiau GI fynd yn fwy, hyd yn oed mewn practisau preifat, i nodi un neu ddau o endosgopyddion a all gysegru eu hunain i gynnal hyfedredd uchel wrth ganfod neoplasia Barrett, yn union fel mae gennym ni arbenigwyr mewn ERCP ac EUS."
Am fersiynau o'r delweddau sydd wedi'u cynnwys sy'n dangos lleoliadau'r briwiau BE, gweler, "Wnaethoch Chi Ganfod Neoplasia'r Barrett?" o'n rhifyn Medi.
—Monica J. Smith
Adroddodd Dr. Sharma am berthynas ariannol gyda Bausch, Boston Scientific, CDx, Cosmo, Docbot, Erbe USA, Fujifilm, Ironwood, Lumendi, Medtronic, Olympus ac US Endosgopi. Mae'n aelod o fwrdd golygyddol Gastroenterology & Endoscopy News. Adroddodd Dr. Shaheen am berthynas ariannol ag Aqua Medical, CDx, Cernostics, Cook, Union Sciences, Interpace, Lucid, Medtronic, Pentax, Phathom a Steris.


